查看: 15817|回复: 0

[心胸] 间质性肺疾病病理

[复制链接]

864

主题

373

回帖

299

日志

荣誉会员

积分
7052
QQ
发表于 2024-12-24 16:58:19 | 显示全部楼层 |阅读模式
间质性肺疾病(interstial lung disease, ILD)亦称作弥漫性实质性肺疾病(diffuse parenchymal lung disease, DPLD),是一组主要累及肺间质和肺泡腔,导致肺泡-毛细血管功能单位丧失的弥漫性肺疾病。其病变特点是肺间质(结缔组织、淋巴管、神经及血管)的慢性炎性改变和进行性的纤维化。可分为四类:
1)已知原因的ILD
  • 职业或家居环境因素相关,如过敏性肺炎、肺尘埃沉着病
  • 药物或治疗相关
  • 结缔组织疾病或血管炎相关

2)肉芽肿性ILD,即结节病(sarcoidosis)
3)罕见的ILD
4)特发性间质性肺炎(idiopathic interstitial pneumonia, IIP):病因不明,2002年国际多学科共识将其分为7类,病理类型和临床-影像-病理诊断分别对应为:
间质性肺疾病.jpg
病理类型
临床-影像-病理诊断
普通型(寻常型)间质性肺炎,Usual interstitial pneumonia, UIP---特发性肺纤维化,Idiopathic pulmonary fibrosis, IPF
非特异性间质性肺炎,Nonspecific interstitial pneumonia, NSIP---(相同)
机化性肺炎,Organizing pneumonia---隐源性机化性肺炎,Cryptogenic organizing pneumonia, COP
弥漫性肺泡损伤,diffuse alveolar damage, DAD---急性间质性肺炎,acute interstitial pneumonia, AIP
呼吸性细支气管炎,Respiratory bronchiolitis---呼吸性细支气管炎-间质性肺病,Respiratory bronchiolitis interstitial lung disease, RBILD
脱屑性间质性肺炎,Desquamative interstitial pneumonia, DIP---(相同)
淋巴细胞性间质性肺炎,Lymphoid interstitial pneumonia, LIP---(相同)

1 特发性肺纤维化
特发性肺纤维化(idiopathic pulmonary fibrosis, IPF)是一种病因不明、慢性进行性纤维化性间质性肺炎。
  • 好发于中老年男性。
  • 病变局限在肺脏,主要表现为进行性呼吸困难伴限制性通气障碍和气体交换障碍,导致低氧血症甚至呼吸衰竭。
  • 目前缺少有效的治疗手段,预后差。
  • 其病理组织学和影像学表现为普通型间质性肺炎(usual interstitial pueumonia, UIP)。
  • 发病机制未完全阐明,反复的微小的上皮损伤是始动因素。
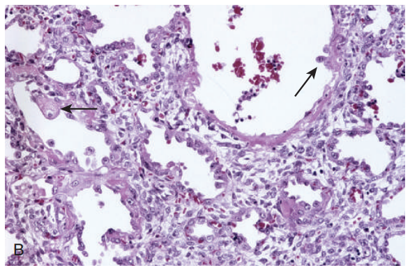
  • 病理变化:致密的纤维化,破坏正常组织结构,形成蜂窝肺(honeycomb lung)。蜂窝肺为细支气管上皮增生后形成的纤维化囊腔,其内充满了黏液及炎症细胞。纤维化区域边缘可见散在的纤维母细胞灶(fibroblast foci),由成纤维细胞和肌成纤维细胞组成。病变呈斑片状分布,周围肺组织结构可相对正常。主要累及两肺胸膜下及间隔旁肺实质,以双下肺为重。

edd3267e1fcc501f23d97f1e9890e1c7.png

d7be1a68d67ff7a32b68d0ba2af19da5.png
2 弥漫性肺泡损伤
弥漫性肺泡损伤(diffuse alveolar damage, DAD)是一个病理描述性名称,临床主要表现有急性呼吸困难和X线示弥漫性肺浸润病变。最常见于急性呼吸窘迫综合征(acute respiratory distress syndrome,ARDS),一种由肺内原因和/或肺外原因引起的以顽固性低氧血症为显著特征的临床综合征,起病急骤,病死率高。DAD亦是特发性间质性肺炎中急性间质性肺炎(AIP)的病理表现。

根据疾病的发展过程,可将弥漫性肺泡损伤的病理改变分为急性期(渗出期)和增生期(机化期):
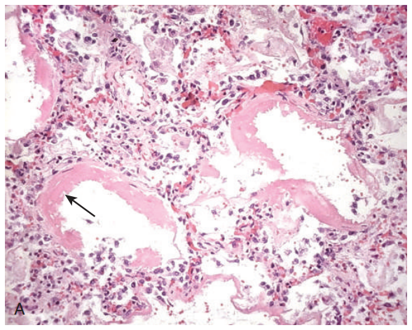
急性期(acute stage):第一周内,以水肿和透明膜形成为特征。
  • 毛细血管扩张充血。
  • 肺间质和肺泡内水肿伴不等量的红细胞渗出。
  • 毛细血管内皮细胞和I型肺泡上皮细胞肿胀和有退行性改变。
  • 间质炎细胞浸润。血管内有时见纤维素性血栓。
  • 透明膜(hyaline membrane)是一层紧贴肺泡壁的红染均质透明膜样物,含有丰富的胞浆物质、脱落细胞的核碎片及混有少量的纤维素。

beb12279bc933c41ff2fd7ed800ac9ee.png
增生期(proliferative stage):第一周后,以纤维母细胞增生和Ⅱ型肺泡上皮增生为特征。病变最终可导致肺间质纤维化和支气管周围纤维化。
43e1bdc91d6f36c8f7731dbd45e19583.png
  1. 2012年提出的柏林标准将ARDS分为轻、中、重度进行诊断:PEEP或CPAP>5cmH2O时,

  2. 轻度,200mmHg<PaO2/FiO2<300mmHg
  3. 中度,100mmHg<PaO2/FiO2<200mmHg
  4. 重度,PaO2/FiO2<100mmHg
  5. 临床诊断的ARDS的轻度、中度、重度的病理表现可能是DAD,也可能不是。
复制代码


3 肺硅沉着病
肺尘埃沉着病(pneumoconiosis)简称尘肺,是长期吸入有害粉尘(如二氧化硅(silica)、石棉(asbestos)、煤尘(coal dust))在肺内沉着,引起以粉尘结节和肺纤维化为主要病变的常见职业病。

肺硅沉着病(silicosis),简称硅肺(矽肺),是尘肺中最常见的类型,由长期吸入含游离SiO2粉尘沉着于肺组织引起。
  • 患者多在接触硅尘10~15年后发病,病程进展缓慢,即使脱离硅尘接触后肺部病变仍继续发展。
  • 大于5μm的颗粒多停留在鼻腔,3~5μm的可到达支气管腔,<2μm的颗粒则可进入肺泡,并被巨噬细胞吞噬。对进入肺泡内硅尘微粒的清除途径包括经黏液-纤毛排送系统排出、随淋巴回流至肺门淋巴结、少量直接进入血流。
  • 硅尘颗粒引起硅肺的发病机制主要与SiO2的性质和巨噬细胞有关。SiO2与水聚合形成硅酸,其羟基与吞噬溶酶体膜上的磷脂或脂蛋白上的氢原子形成氢键,使溶酶体膜通透性升高或破裂,导致巨噬细胞崩解自溶,释放出游离硅尘被其他巨噬细胞吞噬。崩解的和已被激活的巨噬细胞释放多种细胞因子和炎症介质,引起肺组织的炎症反应、成纤维细胞增生和胶原沉积。免疫因素也可能发挥作用。
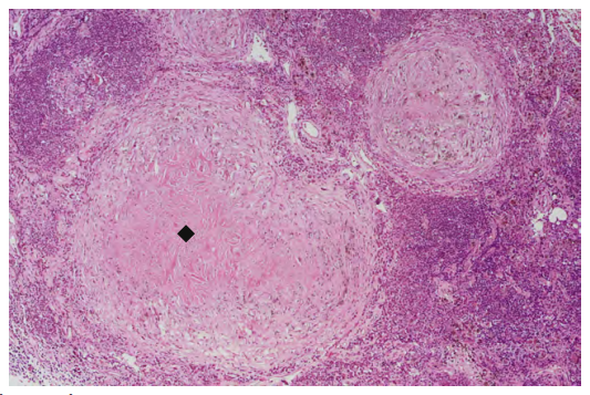
硅肺的基本病变硅结节(silicotic nodule)的形成和肺组织的弥漫性纤维化。
细胞性硅结节:吞噬硅尘的巨噬细胞聚集。
纤维性硅结节:结节内胶原纤维呈同心圆或旋涡状排列,可发生玻璃样变。结节中央常可见到管壁增厚、管腔狭窄的小血管。偏光显微镜可观察到硅尘颗粒。
dd9babd8229cf58da6142e9b0eb2896e.png

bcef2f55ce8c52bf4ee1ac42aa6d1174.png
硅肺的分期
  • Ⅰ期:主要表现为肺门淋巴结肿大,有硅结节形成和纤维化改变,数量较少,肺的重量、体积和硬度无明显改变。
  • Ⅱ期:硅结节数量增多,体积增大,伴有较明显的肺纤维化。结节性病变散步于双肺,总的病变范围不超过全肺的1/3。肺的重量和硬度增加,体积增大,胸膜也增厚。
  • Ⅲ期:硅结节密度增大并与肺纤维化融合成大团块。肺重量、硬度和体积显著增加。

并发症
  • 硅肺结核(silicotuberculosis):可能是由于病变组织对结核杆菌的防御能力降低。结核发展和累及范围较单纯肺结核严重,更易形成空洞。
  • 慢性肺源性心脏病。
  • 肺部感染。
  • 阻塞性肺气肿。

参考资料
[1] 步宏,李一雷主编:病理学(第9版),人民卫生出版社,2018
[2] 陈杰,周桥主编:病理学(八年制第3版),人民卫生出版社,2015
希望疫情早日结束!
回复 关闭延时

使用道具 举报

您需要登录后才可以回帖 登录 | 注册  

本版积分规则

快速回复 返回顶部 返回列表