查看: 2537|回复: 0

[心胸] Fleischner 最新胸部影像术语及影像对照-5

[复制链接]

864

主题

373

回帖

299

日志

荣誉会员

积分
7052
QQ
发表于 2024-11-16 18:12:35 | 显示全部楼层 |阅读模式
本帖最后由 hyc3140 于 2024-11-16 18:14 编辑

随着成像技术的最新发展,新单词已经出现,其他单词已经过时,并且某些术语的含义已经发生了变化。需要重新定义,更新胸部影像术语。2024年3月,Fleischner学会的成员编纂了全新的胸部影像术语表(第4版),以取代分别于1984年、1996年和 2008年出版的词汇表。
e86f2e2cb5d2ac152c98ae9a5b2a51db.jpg
图1 pneumomediastinum-纵隔气肿 纵隔气肿是指食管和气管支气管树外的纵隔组织中存在气体。可能是由于自发性肺泡破裂,随后空气沿着支气管血管间质进入纵隔。纵隔积气与哮喘病史、严重咳嗽或辅助通气尤其相关。X 光片和 CT 扫描-纵隔气肿在胸部 X 光片上表现为透明条纹,大多是垂直方向的。其中一些条纹可能勾勒出血管和主支气管的轮廓。
b9c46f8fb3c3ecee04d0262615f46d2c.jpg
图2 pneumopericardium-心包气肿 病理:心包气肿是指心包腔内出现气体。通常是医源性的,手术性的,常见于成人。X 光片和 CT 扫描-心包气肿可以与纵隔气肿相互鉴别,因为气体导致的透亮影不会超出心包腔的范围。
9e230d16751d1eed3017cb945e2517ed.jpg
图3 pneumothorax and tension pneumothorax-气胸和张力性气胸 病理生理学-气胸是指胸膜腔内存在气体。限定条件包括自发性、创伤性、诊断性和紧张性。张力性气胸是胸膜内气体在压力下积聚。在这种情况下,同侧肺如果正常的话会完全塌陷;然而,顺应性较差的肺部可能会保持部分充气状态。X 光照片和 CT 扫描-在胸部 X 光照片上,可以看到脏层胸膜边缘,除非气胸非常小或胸膜边缘与 X 射线束不相切。张力性气胸可能与纵隔明显移位和/或膈肌凹陷有关。在没有张力的情况下也会发生一些变化,因为气胸时胸膜压变为大气压,而对侧半胸的胸膜压仍为负值。
353994aa28155d28066460968780271d.jpg
图4 progressive massive fibrosis-进展性大范围肺纤维化 病理学-这种情况是由严重暴露于无机粉尘的个体(主要是煤炭工人)缓慢生长的粉尘颗粒聚集和胶原蛋白沉积引起的。X 线照片和 CT 扫描-进行性大块纤维化表现为肿块样病变,通常为双侧和上叶。背景结节性混浊反映伴随的尘肺病,伴有或不伴有大量纤维化附近的肺气肿破坏。类似于进行性大块纤维化的病变有时也会发生在其他疾病中,例如结节病和滑石病 。
fd375054e366c276d1f180411d876bc0.jpg
图5 pseudocavity-假空洞 CT 扫描-假空洞表现为肺结节、肿块或实变区域中的椭圆形或圆形低衰减区域,代表幸存的实质、正常或扩张的支气管或局灶性肺气肿,而不是空洞。这些假空洞的直径通常小于 1 厘米。它们已在腺癌、细支气管肺泡癌和传染性肺炎等良性疾病患者中得到描述。
e30d8cd935205a560199fc1ff60498ad.jpg
图6 pseudoplaque-假胸膜斑 CT扫描-假胸膜斑是与脏层胸膜相连续的肺内高密度,是小结节相互融合形成的。其外形类似与胸膜斑表现,本征象最常见于结节病,硅肺和煤炭工人的尘肺。
2c8af8fa3db1d7db2291e7ed5d3bb639.jpg
图7 pulmonary blood flow redistribution-肺血重新分布 病理生理学-肺血流重新分布是指由于肺血管床其他部位的肺血管阻力增加而引起的肺内血流正常分布的任何偏离。X 线照片和 CT 扫描-肺血流重新分布表现为一个或多个肺部区域可见肺血管的尺寸和/或数量减少,同时肺血管的数量和/或尺寸相应增加在肺部的其他部位。二尖瓣疾病患者的上叶血液改道是再分配的典型例子 。
d90e8bd9865b2c33a905fc867c2d5696.png
图8 respiratory bronchiolitis–interstitial lung disease, or RB-ILD-呼吸性细支气管炎-间质性肺病 病理:呼吸性细支气管炎-间质性肺病是一类与吸烟有关的病变,特征是呼吸性细支气管或者细支气管周围肺泡的炎症,主要是巨噬细胞浸润,有时候具有非特异性或者脱屑性间质性肺炎的特征。CT 扫描-RB-ILD 通常表现为广泛的小叶中心微结节和斑片状磨玻璃样混浊,对应于富含巨噬细胞的肺泡炎,伴或不伴细纤维化。常伴有支气管壁增厚和轻微的小叶中心性肺气肿。空气滞留区域反映了细支气管成分。
41d94b88c1f6f3f962961adfec3bc7e5.jpg
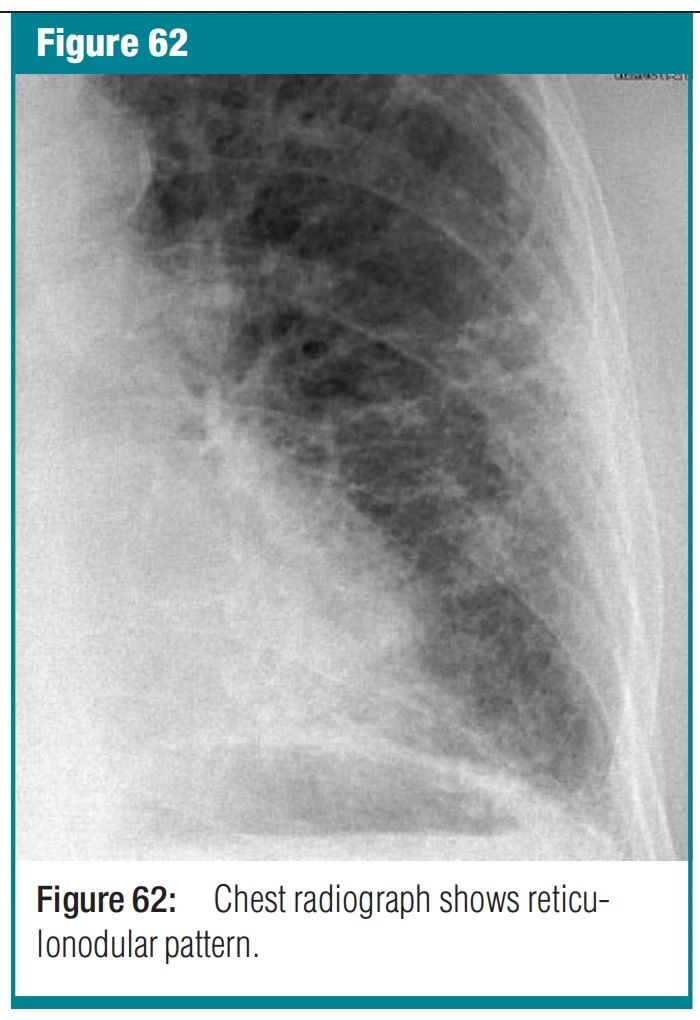
图9 reticular pattern-网状影 X 光照片和 CT 扫描-在胸部 X 光照片上,网状影是无数细小的线性不透明物的集合,通过总和,产生类似于网的外观(同义词:网状结构)。这一发现通常代表间质性肺疾病。网状结构的组成部分在薄层 CT 上可以更清楚地看到,无论是小叶间间隔增厚、小叶内线还是蜂窝状囊壁。
036bb0ff85789969ffe9aece4716d810.jpg
图10 reticulonodular pattern-网状结节影是网状影和结节影重叠在一起。本征象常是大量线状影相互交叉时形成的小结节影。结节的大小和数量取决于线状影的大小和数量。在CT图像上,本征象表现为网状影和结节影同时出现。小结节可以位于网状影的中央(例如小叶中心性小结节),或者线样密度影上的结节(间隔结节)。
a8a8ad4d8b0e5d029706df62fa9f5904.jpg
图11 reversed halo sign-反晕征 反晕征是局限性圆形的磨玻璃影,周围绕以相对完整的环状实变影。本征象罕见,最先报道于隐源性机化性肺炎,也可见与副球孢子菌病。
fc146f21aee6c011576f3339068d153b.jpg
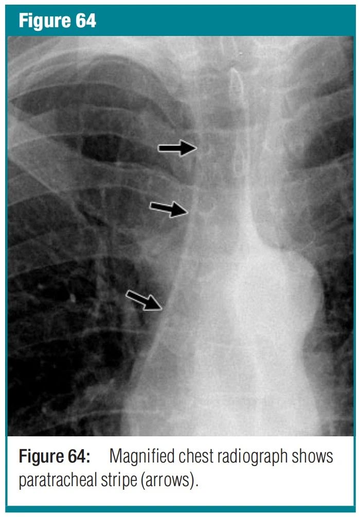
图12 right paratracheal stripe-右侧气管旁带 解剖学和 X 光片-右侧气管旁条纹是垂直、线性、软组织混浊,宽度小于 4 毫米。它对应于右气管壁、邻近的纵隔组织和邻近的胸膜。该条纹高 3-4 厘米,从大约锁骨内侧端的水平延伸到正面胸部 X 光片上的右侧气管支气管角。高达94% 的成年人可见,但纵隔脂肪丰富的个体会扩大或不存在。该条纹变宽、变形或消失的最常见病理原因是气管旁淋巴结肿大。
d79f02af2158068050c6e13e18445e81.jpg
图13 rounded atelectasis-圆形肺不张 病理学:圆形肺不张是圆形塌陷的肺,伴有内陷的纤维化胸膜和增厚且纤维化的小叶间隔。最常见的是,它是石棉引起的渗出性胸腔积液并导致胸膜疤痕的结果,但任何胸膜纤维化的原因都可能发生这种情况。X 光片和 CT 扫描-在胸部 X 光片上,圆形肺不张表现为邻接胸膜表面的肿块,通常位于下叶的后部。血管扭曲呈弧形移位,并在肿块表面和内部聚拢(彗星尾征)。肺叶回缩的程度取决于肺不张的肺容量。血管扭曲呈弧形移位,并在肿块表面和内部聚拢(彗星尾征)。CT 对于检测和显示圆形肺不张的特征更为敏感。另一个迹象是肺不张肺中造影剂的均匀摄取。同义词包括折叠肺综合征、螺旋性肺不张、Blesovsky 综合征、胸膜假瘤和胸膜瘤。

声明:图片主要来源于必应及相关网络,在此表示鸣谢!
回复 关闭延时

使用道具 举报

您需要登录后才可以回帖 登录 | 注册  

本版积分规则

快速回复 返回顶部 返回列表