查看: 2928|回复: 2

[心胸] 肺非典型腺瘤样增生,原位腺癌,微浸润性腺癌

[复制链接]

854

主题

372

回帖

298

日志

荣誉会员

积分
6828
QQ
发表于 2024-7-20 19:07:15 | 显示全部楼层 |阅读模式
1、非典型腺瘤样增生(AAH)
①结节多单个存在,直径<5mm,clara细胞单层排列,呈鞋钉样,细胞间有空隙,可以不连续,大多能放下一个细胞。
②肺泡间隔宽窄基本一致,与周围正常肺泡壁相连续,几乎无炎症细胞。

981a24633aceff9bea5a1f63464e61c5.jpg
与周围正常肺泡壁相连续

346ec7594e903f896807d75cbdee176c.jpg
细胞圆形,呈鞋钉样,可形成假性乳头
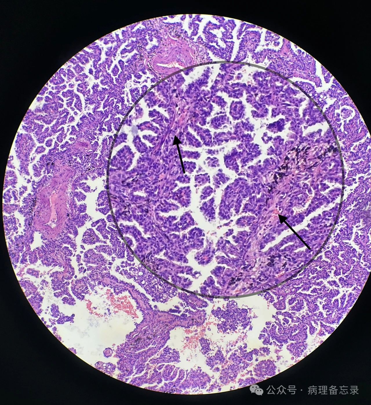
2、原位腺癌(AIS)
①CT:纯毛玻璃改变的肺结节。
②结节直径≤3cm,纯贴壁生长,无其他浸润性成分,细胞排列密集,呈高柱状,有异形性,无胸膜及脉管侵犯。
③肺泡间隔不规则增宽,或硬化,没有明显间质浸润。

dad52694639388ab45656e40aea62a20.jpg
纯贴壁生长

804c7b50630fc16821352f743408e4e1.jpg
细胞排列密集,无空隙
18c61e99e78414d7a8479916e5da930e.jpg
细胞单层排列,高柱状,可重叠,细胞异型比AAH大

30523f13066bfbf2a31c248afbb000c6.jpg
细胞单层排列,高柱状,可重叠,细胞异型比AAH大
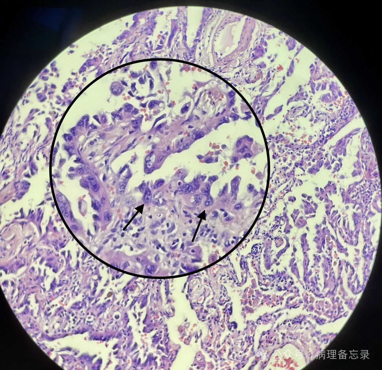
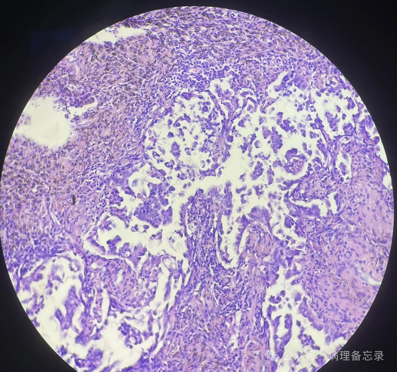
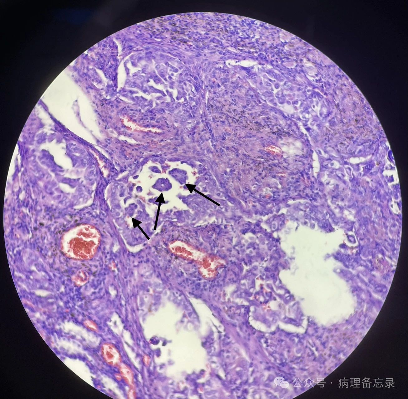
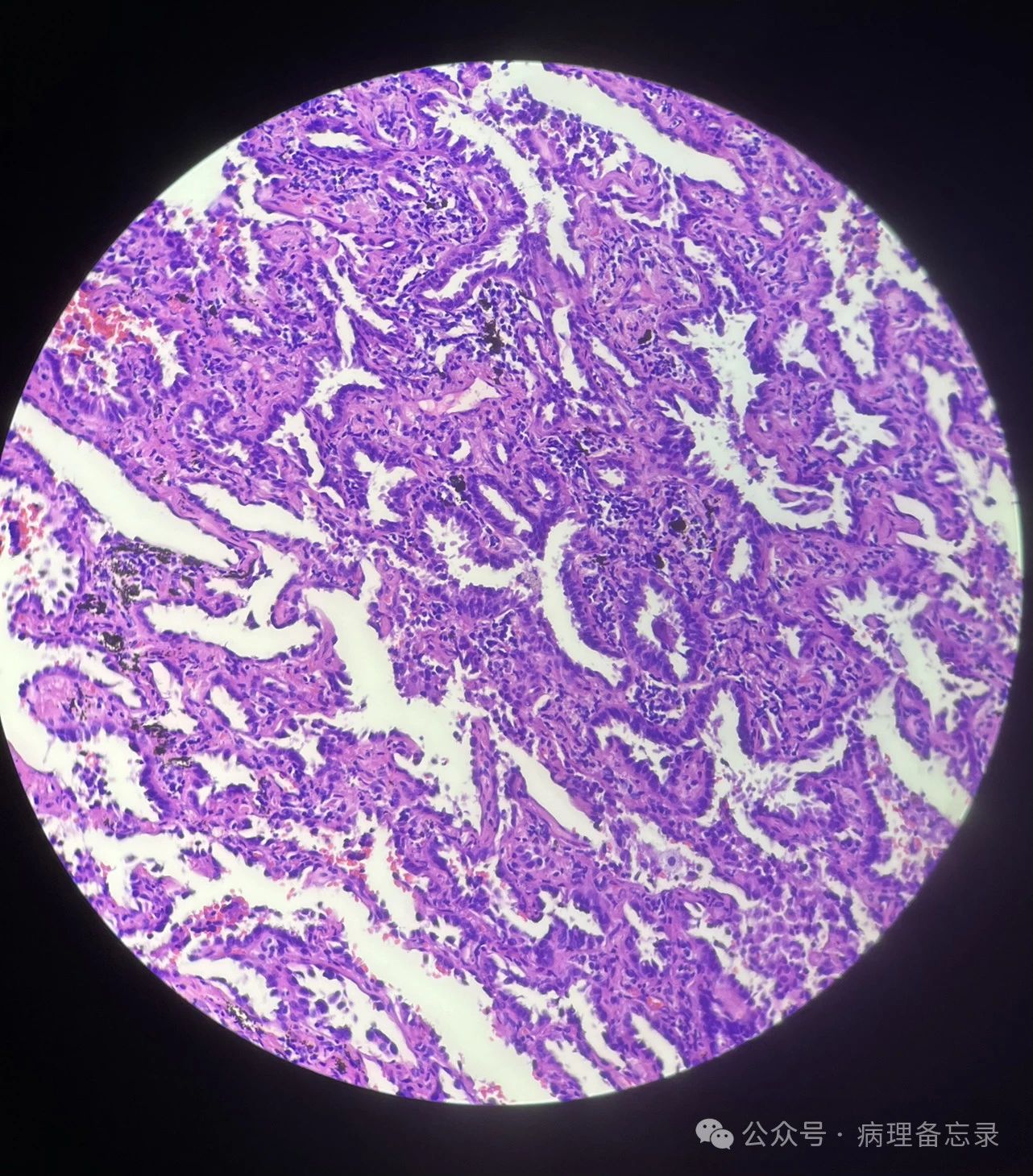
3、微浸润性腺癌(MIA)
①CT为体积小,不是纯的毛玻璃样结节,部分为实性结节。
②直径≤3cm的腺癌,以贴壁生长为主,浸润性腺癌的成分≤5mm,与周围界限清楚。
③浸润性腺癌成分主要包括腺泡型(最常见)、乳头型、微乳头型、实体型、肠型和浸润性黏液腺癌。
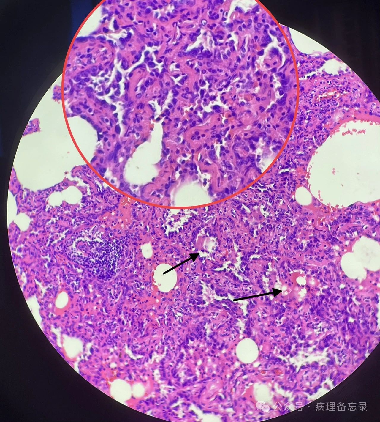
④其他浸润成分:肿瘤浸润到肺泡间质/腺腔内出现肿瘤细胞。
⑤微浸润性腺癌不应出现胸膜侵犯,脉管侵犯,肿瘤坏死,气腔播散。

11f71c7c8278fb61fd7d186a2dc2c3a5.jpg
贴壁为主,浸润成分≤5mm(黑色:贴壁型    红色:腺泡型)
3ce85c9a7a5067746ccb310e38a9e29b.jpg
结节与周围界限清楚
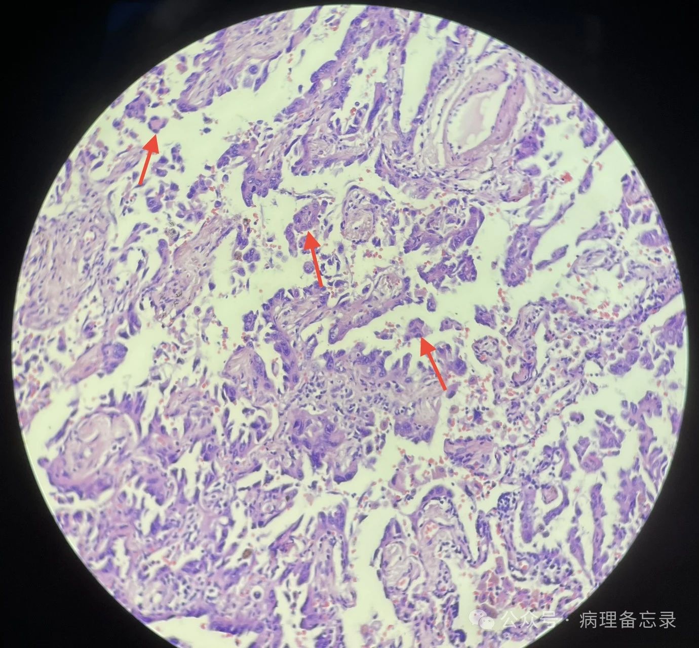
904fe8acc0ec90164e2001d8c6910bdf.jpg
贴壁型

d27882c7391cd168a1f91ed31d66227b.jpg
腺泡型,肿瘤浸润间质有促纤维反应
1428e5f6b82cd458f51369ed67fa3924.jpg
再放大看看

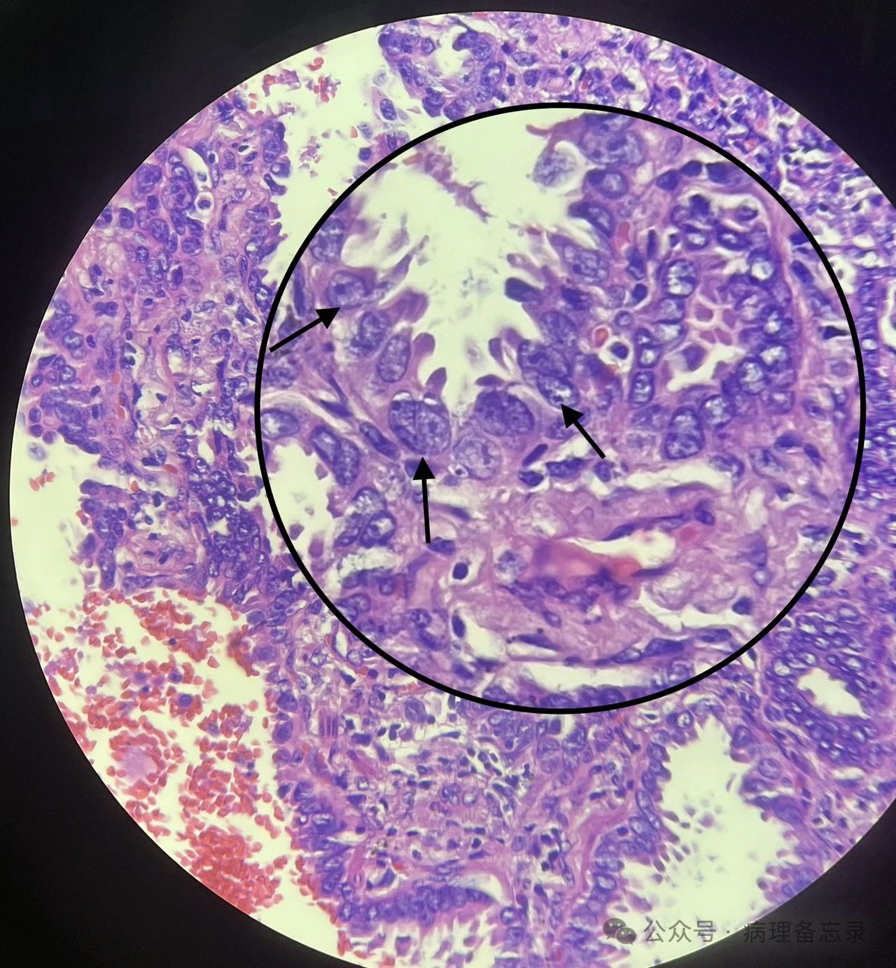
4f2d93585c0ee5ca1eef299920e3a1e9.jpg
细胞异型,核大深染,比原位腺癌细胞异型更大。
注:①诊断这三种病变都需要取材完全。
②贴壁型与腺泡型区分主要看:细胞异型程度和间质促纤维反应。
③诊断微浸润性腺癌时,浸润成分必须是非常确定的纯浸润,不能模棱两可。
未完待续……
参考资料:
1.陈杰、步宏.《临床病理学》2015年第1版,人民卫生出版社。
希望疫情早日结束!
回复 关闭延时

使用道具 举报

854

主题

372

回帖

298

日志

荣誉会员

积分
6828
QQ
发表于 2024-7-20 19:08:37 | 显示全部楼层

肺浸润型腺癌——贴壁型腺癌,腺泡型腺癌,乳头型腺癌

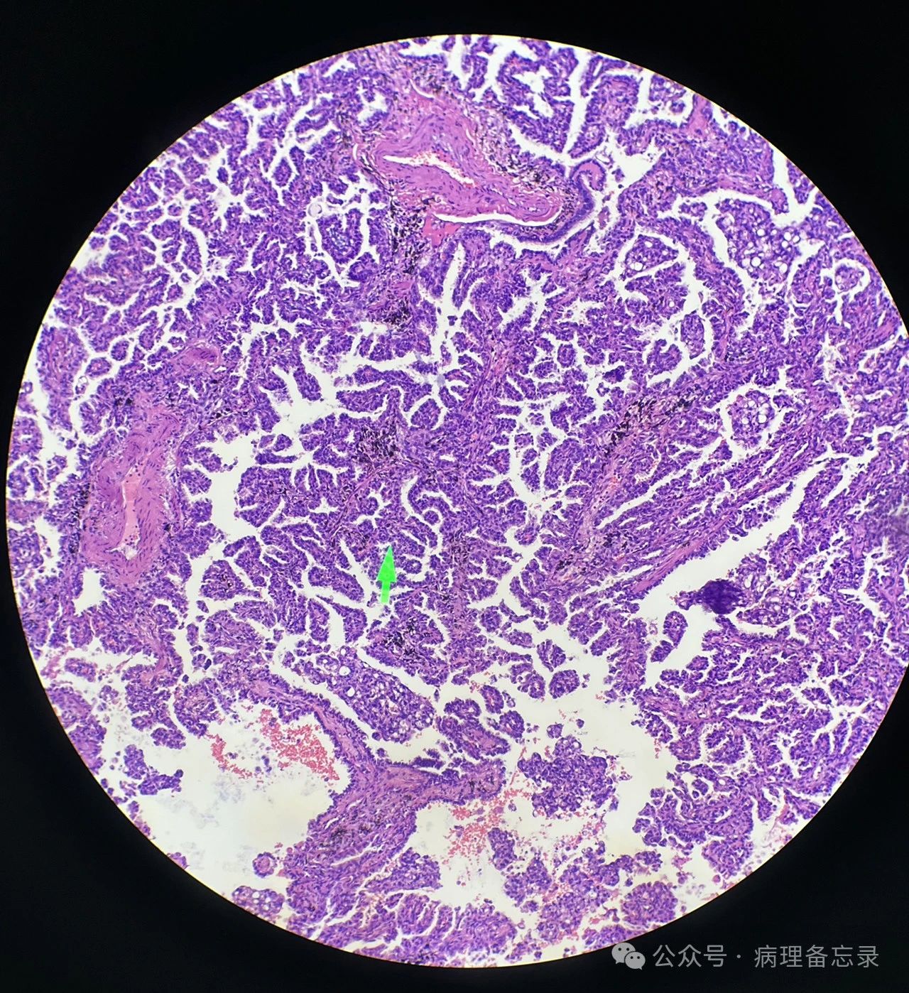
1、贴壁生长型腺癌:
①贴壁生长为主,浸润范围>5mm/经过换算后浸润范围>5mm/出现脉管侵犯,胸膜侵犯,肿瘤坏死,气腔侵犯/肿瘤侵犯肺间质。
②浸润成分包括:腺泡型,乳头型,微乳头型,实体型,肠型等。
③细胞紧贴肺泡壁生长,排列紧密,单层,高柱状,有异型。
④与腺泡型鉴别要点:贴壁生长型肺泡间隔相对一致,无腺泡分泌物,无促纤维结缔组织反应。⑤该诊断只适用于非黏液性腺癌。
85d4a4e35b99fdf6e8805573ee884fe9.jpg
贴壁型肺泡间隔相对一致

110b9372d0296521c440efc8bfc5b3d4.jpg
贴壁型:细胞单层,排列紧密,局部可形成乳头
2e8ba663b2b91b0302d4cc366834c545.jpg
贴壁型:细胞单层排列,高柱状,有异型

c953c745f71a02d1034b1a9d2e9ed1db.jpg
贴壁型:假腺泡样结构,腺腔内没有分泌物,肺泡间隔也比较一致,没有促纤维反应

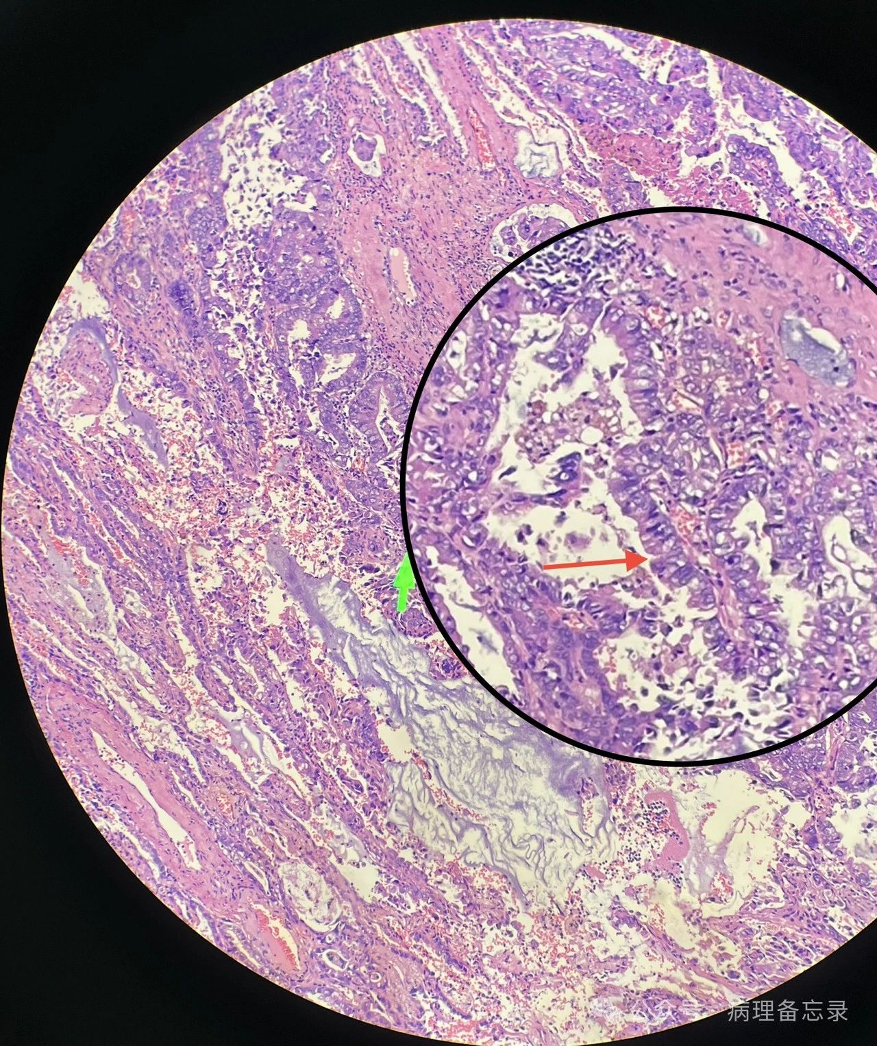
8abe2033e8911509bca0105a7377df00.jpg
腺泡型:腺腔不规则(红色圆圈),大小不一,腺腔内可见粉色分泌物(黑色箭头),间质可见促纤维反应
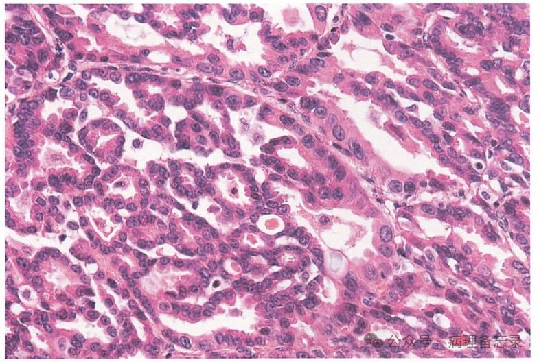
2、腺泡型腺癌
①腺体不规则,可成角,共壁,融合成筛孔状,筛孔状腺癌预后差。
②细胞排列紧密,出现复层排列,异型大,细胞核空泡状,可见核仁。

30485a94dccbebdbd1881db8433dd62c.jpg
腺泡大小不一,成角,浸润肺泡间质

49feed35e220b887ef42ed19e99cbc82.jpg
腺泡大小不一,成角,间质促纤维反应

54c2e1a8e0696dbc6842dfcb4349bddd.jpg
细胞异型大,核呈空泡状,核内可见核仁

e37fdd904539997a4e22837ccaeb1113.jpg
细胞排列密集,异型大,核呈空泡状,核内可见核仁

4cbcca3afec29f8d515a6d80b91b1adf.jpg
筛孔型,中-低分化图片来源:刘彤华.《刘彤华诊断病理学》侵权删
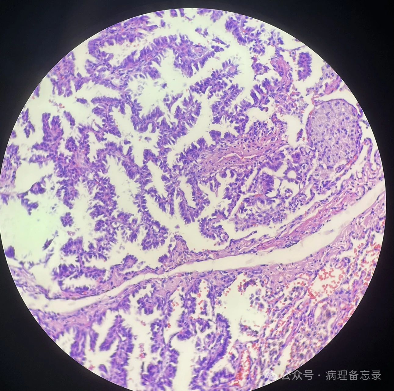
3、乳头型腺癌
①乳头中央可见纤维血管轴心,形成二级或三级乳头。
②细胞呈立方型,或柱状,异型性大,核空泡状,有核仁。
③当肺泡腔内充满乳头或微乳头结构时,不需要侵犯间质,也是浸润型腺癌。

7ac58f0dce2795ff05c45c660e2895f4.jpg
乳头状,可见二级和三级乳头

59316f44881fc6903bccbb31cac4e267.jpg
肿瘤细胞排列拥挤,可见纤维血管轴心

2775344de45e6b26e63a48eca47116b9.jpg
乳头状,可见二级和三级乳头,可见纤维血管轴心

5e274e817ad9f2ce1d2617780912369c.jpg
肿瘤细胞排列成乳头状,核空泡状,可见核仁
未完待续……

参考资料:
1.陈杰、步宏.《临床病理学》2015年第1版,人民卫生出版社。
2.王恩华、张杰等.《临床病理诊断与鉴别诊断——气管、肺、胸膜及纵隔疾病》2018年5月第1版,人民卫生出版社。
3.刘彤华.《刘彤华诊断病理学》2018年第4版,人民卫生出版社。

以上内容仅用于个人学习备忘录使用,如有错误,欢迎批评指正,文中图片为个人拍摄和部分引用已注明出处,如有侵权,请联系删除,谢谢!
希望疫情早日结束!
回复 支持 反对

使用道具 举报

854

主题

372

回帖

298

日志

荣誉会员

积分
6828
QQ
发表于 2024-7-20 19:09:31 | 显示全部楼层

肺浸润性腺癌——微乳头型腺癌,实体型腺癌,肠型腺癌

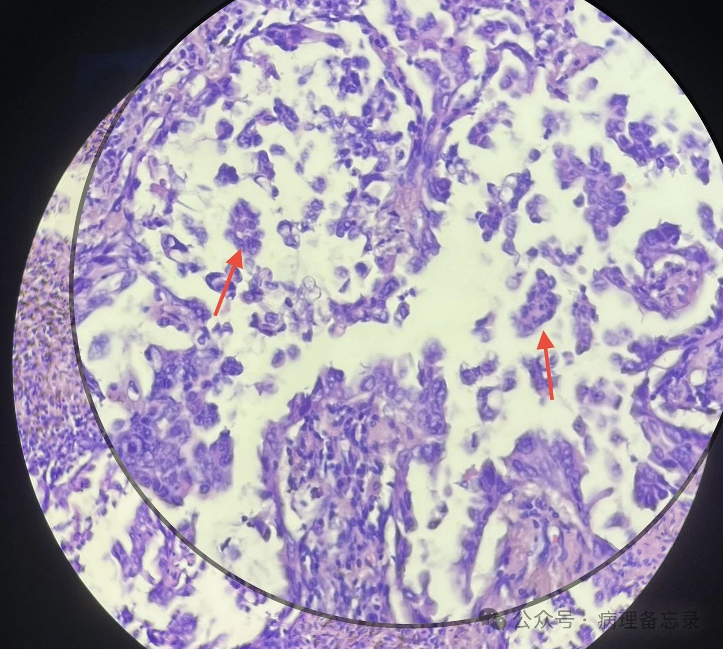
1、微乳头型腺癌
①乳头中央无纤维血管轴心,成簇排列,贴附于肺泡壁/游离在肺泡腔。
②细胞体积小,呈立方型,可见血管和间质侵犯,侵袭力强,属于低分化。

db6b147e33a718ab921674409dcc5f5a.jpg
肺泡腔内/或肺泡壁上可见微乳头结构
6558d5bf1b7c217590162863c15d578a.jpg
放大再看看,乳头中央无纤维血管轴心,细胞立方形,核空泡状,异型大

0a93ee31fa60871749cce776da6f9949.jpg
肺泡腔内漂浮微乳头,无纤维血管轴心,侵犯肺间质

8e0bac532c51a31600c8dfc30366d6fe.jpg
细胞核空泡状,可见核仁

c58d5748c09edf08e8cb6a68d52b0ef9.jpg
肺泡腔内漂浮微乳头,无纤维血管轴心
2、实体型腺癌
①肿瘤呈实性片状巢团,多角形,类似非角化鳞癌,侵袭力强。
免疫组化区分:
非角化型鳞癌:CK5/6(+)、P40(+)、P63(+)实体型腺癌:CK7(+)、TTF-1(+)
②缺乏腺泡型、乳头型、微乳头型结构,可有细胞内黏液。

8d040fda4899fe5219fe7df5114148cc.jpg
肿瘤呈实性片状,巢团样

3ef9a7f056828ddc9a8198fa7c09619d.jpg
肿瘤呈实性片状,巢团样

b7076549ff6724a84340ea8aef0a25e5.jpg
细胞多角型,异型性大,部分可见细胞内黏液(黑色箭头),细胞核被挤到一侧

cce77c85a112d062d4479fff30b29f53.jpg
细胞多角形,核空泡状,可见核仁,核分裂像易见(黑色)
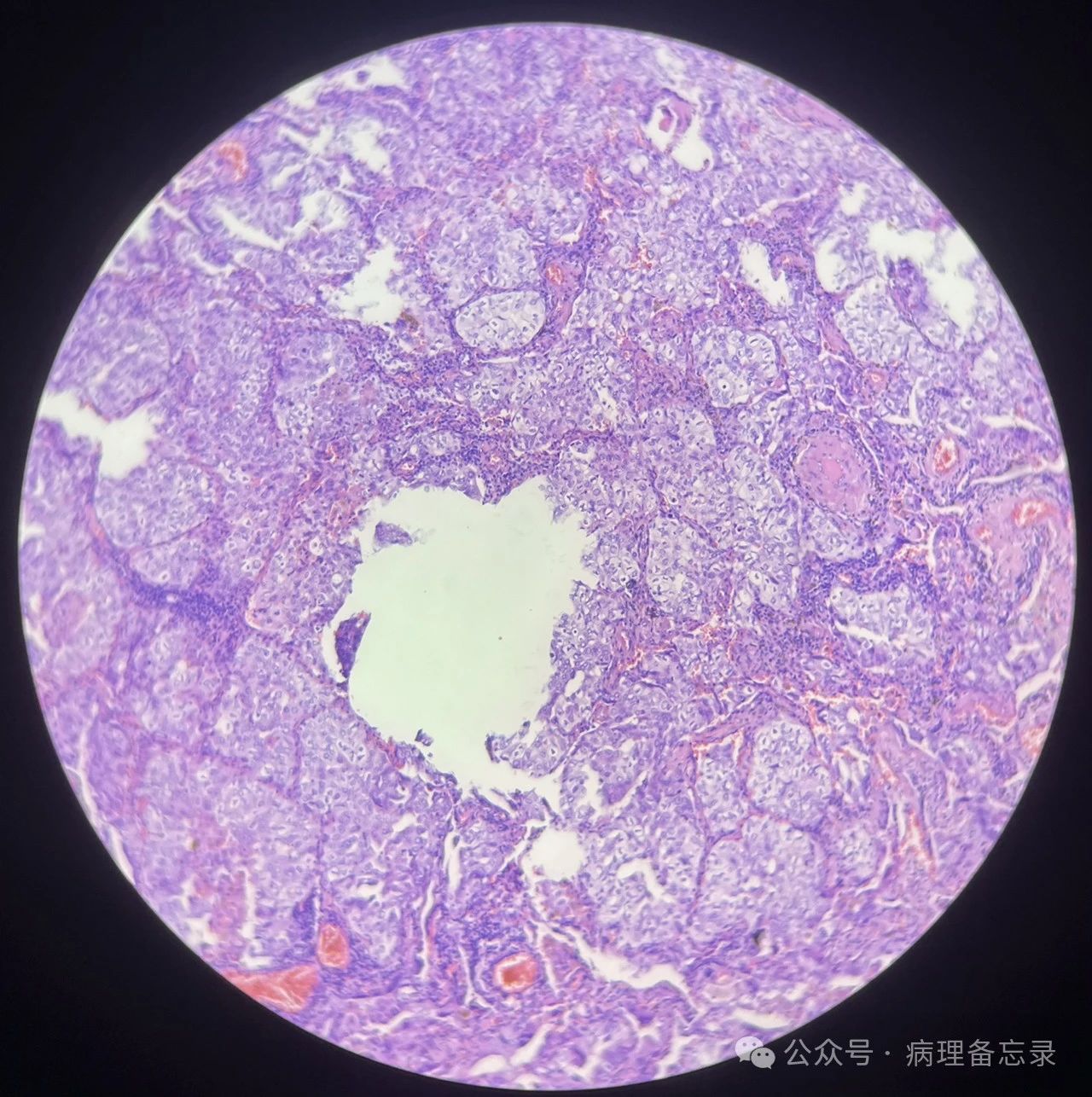
3、肠型腺癌
①类似结直肠癌的肺原发腺癌,但是一定要排除转移型肠腺癌(结合临床病史、影像学和病理诊断,有时单靠免疫组化不能明确)。
②细胞呈高柱状,泡状核,胞质嗜酸性,排列成腺泡状/筛孔状,可见坏死及黏液。
③诊断肠型腺癌,肠型结构≥50%。

af6718678639e4c73eeb4ccad9edc763.jpg
类似结肠腺癌


454a1a100708e263488771d48d573375.jpg
呈筛孔状

bbce19012a0f1d2c07061d4aad25b52c.jpg
可见坏死和黏液

a487e6919cb31ebe9e8c0118542a8196.jpg
细胞呈高柱状,核空泡状,可见核仁,胞浆嗜酸性

注:①假乳头和乳头型腺癌的区别是假乳头没有真正的纤维血管轴心。
②假腺泡和腺泡型腺癌的区别是假腺腔内没有分泌物。

参考资料:
1.陈杰、步宏.《临床病理学》2015年第1版,人民卫生出版社。
2.王恩华、张杰等.《临床病理诊断与鉴别诊断——气管、肺、胸膜及纵隔疾病》2018年5月第1版,人民卫生出版社。
3.刘彤华.《刘彤华诊断病理学》2018年第4版,人民卫生出版社。

以上内容仅用于个人学习备忘录使用,如有错误,欢迎批评指正,文中图片为个人拍摄和部分引用已注明出处,如有侵权,请联系删除,谢谢!
希望疫情早日结束!
回复 支持 反对

使用道具 举报

您需要登录后才可以回帖 登录 | 注册  

本版积分规则

快速回复 返回顶部 返回列表