查看: 7711|回复: 0

[中枢神经] 超实用的颈内动脉CTA分段

[复制链接]

864

主题

373

回帖

299

日志

荣誉会员

积分
7114
QQ
发表于 2022-12-3 20:19:00 | 显示全部楼层 |阅读模式
本帖最后由 hyc3140 于 2022-12-3 20:28 编辑

超实用的颈内动脉CTA分段。
影海泛舟授权发送作者:七田小溪
17d7c6af42dcd81578778f6cdeb42a99.png
事实上关于颈内动脉分段的方法有很多种,本文重点介绍我们平时工作中最常用的一种分段方法,该分段由Bouthillier教授于1996年提出并沿用至今。
分段的全面展示如上图所示,包括7段:C1颈段(Cervical segement)C2岩段(Petrous segment)C3破裂孔段(Lacerum segment)C4海绵窦段(Cavenous segement)C5床突段(Clinic segment)C6眼段(OPhtalmic segement)C7交通段(Communicating segment)
下面我将详尽展示每一分段的具体识别方法。

10e3e41d44ed8f6dc6134752da5f4dad.png
C1段(颈段),无殊。

9a7ee0e6c9f6991ef27798793aaf008c.png
cdcc78636ae1f730e519b1bfa078ce0a.png   
    C2段(岩段)走行于颅底颈动脉管内,骨性管道起到限制颈内动脉颅外段向颅内的继续撕裂。C2段可细分为垂直段与水平段,如上图所示。

f9bc0946cb9a65ef5d20bd9f751f9506.png
342e36df4f41edc985dee562e77a68de.png
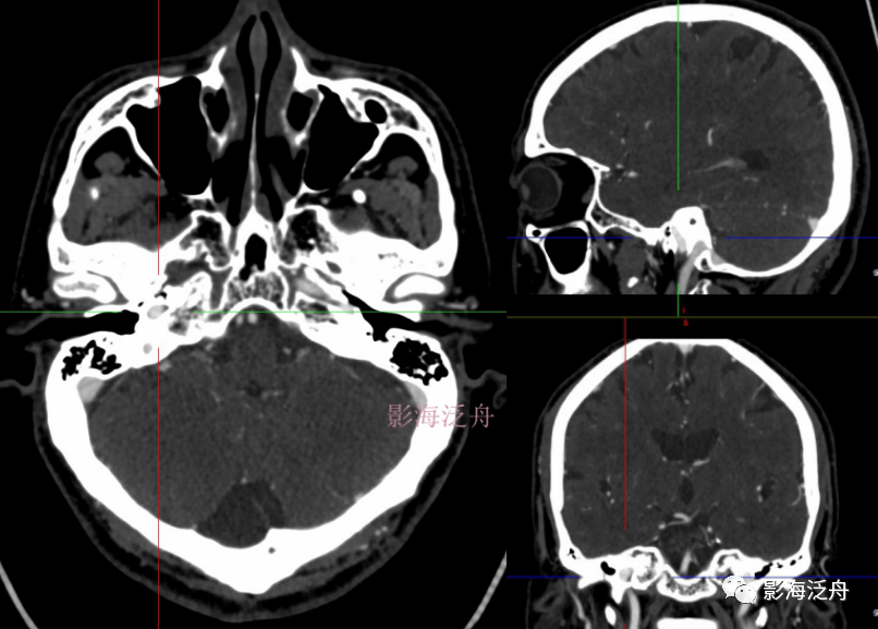
     C3段(破裂孔段),是一段没有分支的短段。该段的识别需要在轴位CT中准确找到破裂孔的位置(红虚线处)。

0ebb11bf62cfc06fc505b68fe2d76352.png
通过这幅图,再强化一下对破裂孔的认识。

07c151aa1927eaa978659a26e5fbbcd3.png
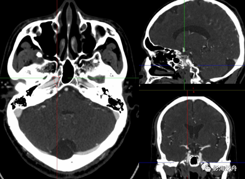
破裂孔靠上一个层面,属于C3段。
      C3段识别特征:在轴位CT上,破裂孔层面+靠上的一个或者两个(具体看扫描层厚)层面共同构成C3段。

be8612219af9e7dc077dae6026fb823b.png   
    C4段(海绵窦段),走行于垂体两侧的海绵窦内,中间发出多个细小分支,供应垂体、斜坡、小脑膜处的硬脑膜及3-6对脑神经。海绵窦段绝大数朋友都可以认出来,比较简单,不再赘述。

355aa1a121b54100910a65926500d103.png
a1ce5852b7cc2adc05b972d5f4932213.png    
   C5段(床突段),为远、近两个硬膜环之间的短段,长约5mm,被前床突所掩盖(图-2黄圈处即C5段)。两个坚硬的硬膜环起到限制下方动脉瘤破裂形成颅内蛛网膜下腔出血的作用。
      C5段识别特征就是在轴位CT上找到前床突,然后被前床突掩盖的那一段大约5mm的血管就是!

c266015755a9547e0e3629c52fd6846a.png
4d144f4dbb6b052b37bd036dace5a81f.png    
   C6段(眼段),起点为远端硬膜环,止点为后交通动脉起始处,两个解剖结构在轴位CT上都是比较明确的。眼动脉位于C6段上,而非C6段的起点。


dd4254075d98b80723dda2e017e55dd2.png    
   C7段(交通段),起点为后交通动脉起始处(绿箭),止点为大脑前动脉与大脑中动脉分叉处(红箭)。
      本文到这里就先告一段了,文中的图文已经非常详尽的标注了颈内动脉各段的分段方法,足够应付日常报告书写(包括脑动脉CTA)。
c266015755a9547e0e3629c52fd6846a.png
回复 关闭延时

使用道具 举报

您需要登录后才可以回帖 登录 | 注册  

本版积分规则

快速回复 返回顶部 返回列表