查看: 6553|回复: 0

胸腺囊肿临床及病理基础

[复制链接]

864

主题

373

回帖

299

日志

荣誉会员

积分
7058
QQ
发表于 2022-11-8 14:47:14 | 显示全部楼层 |阅读模式
胸腺可以发生很多病理改变,包括相当多的良性肿瘤或瘤样病变。由于纵隔包含重要器官,是许多胚胎通路的主要部位,良性胸腺病变在临床和影像学上可以类似于恶性肿瘤。因此,确诊常常需要组织病理学检查。在这种情况下,免疫组织化学在诊断中的作用是有限的,但对排除疑难病例的鉴别诊断肯定有帮助。本综述将讨论胸腺非肿瘤性病变和良性肿瘤的临床、影像学和病理学特征。

胸腺囊肿占前纵隔肿块的1%~2%,可分为单房型和多房型。最常见于前纵隔,其次是颈部。大多数患者无症状,多在常规胸部x光检查中偶然发现。
单房型囊
概述
单房型胸腺囊肿为先天性病变,起源于鳃囊残余物。因此可以发生于胸腺胚胎下降部位的任何地方,包括颈部的侧面,从下颌角到胸骨切迹,或在前纵隔和横膈膜水平。
临床特征
单房型胸腺囊肿可发生于任何年龄,好发于儿童和青少年。它们通常是偶然发现的,直径很少超过4厘米。大多数病人没有症状。较大的囊肿可能引起压迫症状,最常见表现为呼吸困难或气短。很少,它们能引起隐痛,这可能类似于心肌梗死,特别是在老年人。单房型胸腺囊肿可与胸腺增生、重症肌无力和罕见的囊性胸腺瘤相关,造成诊断困难。
影像学特征
CT通常用于评价纵隔/胸腺病变。CT扫描不仅有助于确定病变的确切位置,而且可以勾画出病变与邻近结构的关系。CT表现也有助于区分起源于纵隔的肿块和从肺或其他结构侵犯纵隔的肿块。单房型胸腺囊肿CT表现囊肿壁薄,无实质性成分,静脉注射造影剂未见增强现象。将其与其他纵隔囊肿(包括支气管囊肿、食管重复囊肿或心包囊肿)区分开来是非常困难的。然而,支气管囊肿通常位于食道附近或气管旁;食道重复囊肿位于后纵隔;心包囊肿最常见于心膈角。
病理学特征
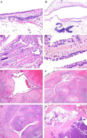
单房型胸腺囊肿要么位于胸腺内,要么通过一个小的椎弓根与之相连。大体上,它们囊壁薄而光滑。平均直径约为4厘米,但文献中也报道了直径达18厘米的囊肿。囊肿内容物通常由浆液或黏液组成,通常无出血。组织学上,囊肿内衬复层鳞状上皮至柱状上皮,细胞学无异型性(图1A)。正常胸腺组织、Hassall小体和淋巴聚集体的病灶可在囊肿壁中识别(图1B)。在一些持续时间较长的病变中,上皮细胞可能被肉芽组织、胆固醇裂缝或纤维化所取代。未发现恶性肿瘤特征。
鉴别诊断
单房型胸腺囊肿的鉴别诊断主要包括其他纵隔囊肿,如支气管囊肿、食管重复囊肿或心包囊肿。有关确切位置的临床信息有助于区分这些实体。此外,支气管囊肿的囊肿壁以软骨、支气管腺和平滑肌层为特征,而食管重复囊肿由双层平滑肌组成,心包囊肿由单层间皮细胞排列。
治疗与预后
无症状的单房型胸腺囊肿患者可进行随访,常规CT复查。对于有症状的病人或罕见的并发症,如囊肿出血,应手术切除。单房型胸腺囊肿通常伴随着一个惰性临床过程,然而,它们与真正的胸腺增生,胸腺瘤,甚至恶性转化有关。它们通常生长缓慢,但在极少数情况下可以迅速发展。

多房型囊
概述
多房型胸腺囊肿是一个独特的实体,不同于单房型囊肿被认为是获得性的。其发病机制被认为与髓质上皮对可导致囊性变性的炎症过程的反应有关。
临床特征
多房型胸腺囊肿可发生于任何年龄,男性多见。大多数患者无症状,常在常规影像学上偶然发现。较大的多房型胸腺囊肿可能会出现呼吸困难、咳嗽和胸部不适。与自身免疫性疾病密切相关,包括干燥综合征、再生障碍性贫血、重症肌无力和系统性红斑狼疮。此外,HIV感染、辐射和外科手术也被认为是潜在的临床相关因素。
影像学特征
在CT上,前纵隔多房型胸腺囊肿表现为边界清楚、不均匀的多房型囊性病变。囊壁边界清楚,常有明显的软组织衰减成分。囊肿壁可见钙化灶,但无侵犯邻近组织的特征。
病理学特征
大体上,多房型胸腺囊肿界限清楚,灰褐色,局部出血,软至胶状。切面通常显示一个杂色外观与混浊,干酪,出血内容物,厚纤维间隔和纤维粘连。组织学上,多房型胸腺囊肿更为复杂,由鳞状上皮、柱状上皮或立方上皮排列的纤维化囊肿壁组成(图1C-E)。慢性炎症改变、纤维血管增生、坏死、出血、胆固醇裂缝形成和反应性淋巴组织增生是囊肿壁的常见特征。淋巴组织增生在干燥综合征患者中更为明显。在极少数情况下,多房型胸腺囊肿可表现出显著的再生性改变,其特征是衬里鳞状上皮增生,使得多房型胸腺囊肿呈假上皮瘤样增生(图1F-G)。无恶性肿瘤的特征,如明显的细胞异型性、核分裂象活跃或浸润性生长等。
鉴别诊断
这种看似简单的病变有时会造成严重的诊断困难,因为更具侵袭性的病变,如霍奇金淋巴瘤、精原细胞瘤、胸腺瘤和胸腺癌不仅是囊性的,而且与多房型胸腺囊肿密切相关(图1H)。特别是胸腺瘤囊性变可以导致类似多房型胸腺囊肿的大体外观。仔细的大体检查、充分的取材和详细的组织学检查是此类病例正确诊断的关键。此外,在困难的情况下,除了临床和影像学信息外,免疫组化染色有助于诊断。用CD30或CD15抗体有助于鉴别囊性霍奇金淋巴瘤的R-S细胞。精原细胞瘤通常表现为PLAP、OCT4和c-kit阳性,而囊性胸腺瘤则有角蛋白阳性的上皮细胞与未成熟的CD1a/TdT阳性的胸腺细胞混合存在。有时,在这些囊肿中可以看到黏液液分化的区域,这些区域类似于胸腺黏液表皮样癌。少数情况下,多房型胸腺囊肿能显示假上皮瘤样增生,应避免误认为是恶性病变。
治疗与预后
无症状的患者可以进行随访行常规CT检查。如果患者出现压迫症状或结构复杂,则需要手术切除以排除恶性肿瘤。多房型胸腺囊肿在本质上是良性的,但是,它们可以与一系列肿瘤相关,包括胸腺瘤、胸腺癌、淋巴瘤、朗格汉斯细胞组织细胞增生症和生殖细胞肿瘤,这些肿瘤需要足够的标本进行病理学检查而被发现。
640x480.png
图1:镜下显示一个单房型胸腺囊肿内衬复层鳞状上皮(A)。低倍镜下显示一个单房型胸腺囊肿和邻近的正常胸腺组织(B)。低倍镜下显示多房性胸腺囊肿的复杂结构(C)。多房型胸腺囊肿内衬上皮可以由鳞状上皮、立方上皮、柱状上皮和纤毛上皮组成(D)。多房型胸腺囊肿的囊肿壁常表现出广泛的反应性改变,包括纤维化(E)。低倍镜下多房型胸腺囊肿伴假上皮瘤样增生(F)。假上皮瘤样增生的多房型胸腺囊肿的鳞状上皮由不典型的多角形细胞组成(G)。多房型胸腺囊肿(左上)常伴有肿瘤,图示梭形细胞型胸腺瘤(右下)(H)。

参考文献:
【1】Non-Neoplastic and Benign Tumoral Lesions of the Thymic Gland: A Review and Update. Adv Anat Pathol,2019,26:257-269.
希望疫情早日结束!
回复 关闭延时

使用道具 举报

您需要登录后才可以回帖 登录 | 注册  

本版积分规则

快速回复 返回顶部 返回列表